Cientistas criam 1º órgão artificial dentro de animal

140825200513 orgao thymus pa 624x351 pa
Por Ivanildo Santos 26 de agosto de 2014

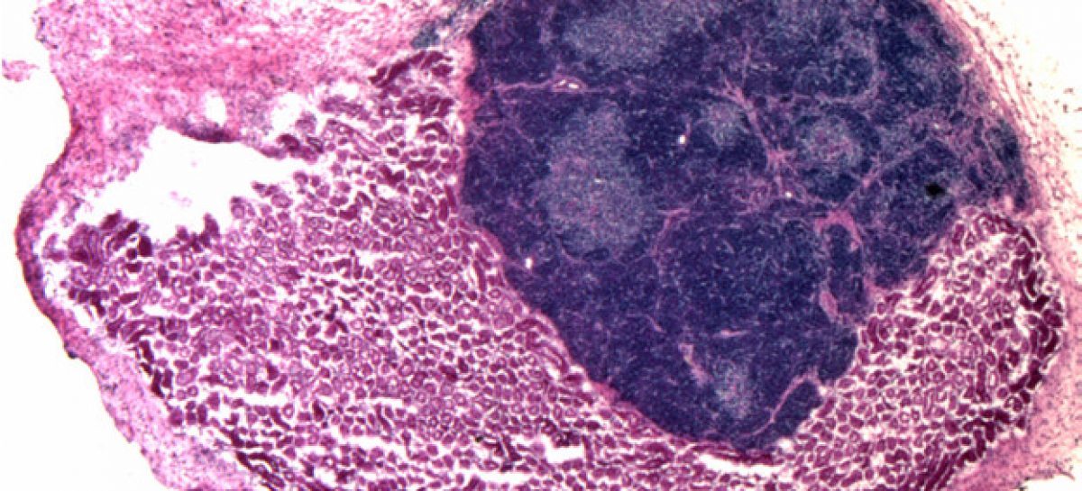
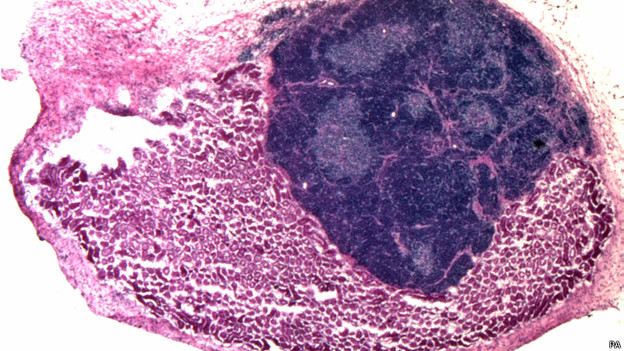
140825200513 orgao thymus pa 624x351 paUm timo – parte importante do sistema imunológico – de camundongo foi gerado artificialmente dentro de uma cobaia.

O experimento, descrito na publicação científica Nature Cell Biology, pode ajudar a abrir caminho para alternativas ao transplante de órgãos.

Os cientistas afirmaram que o resultado obtido foi promissor, mas ainda não há data para o início da experiência em humanos.

Experimento

O timo é uma glândula linfática localizada próximo ao coração onde crescem importantes componentes do sistema imunológico, os chamados linfócitos T, que combatem infecções.

Para conduzir a pesquisa, cientistas do Centro Conselho de Pesquisa Médica para Medicina Regenerativa da Universidade de Edimburgo colheram células de um embrião de um camundongo.

Essas células foram geneticamente “reprogramadas” e começaram a se transformar em um tipo de célula presente no timo.
Os cientistas, então, misturaram essas células com outras e as inseriram dentro de um camundongo.

Uma vez dentro da cobaia, esse grupo de células se desenvolveu e formou um timo totalmente funcional. O resultado é similar ao obtido no ano passado, quando cérebros criados em laboratório atingiram o mesmo nível de desenvolvimento do que um feto de nove semanas.

O timo é um órgão relativamente simples e, nos experimentos conduzidos pelos cientistas, manteve todas as suas funcionalidades normais. Estruturalmente, o órgão continha duas grandes regiões – o córtex e medula – e também produzia linfócitos T.

‘Emocionante’

Clare Blackburn, que fez parte do grupo de pesquisa, afirmou que foi “tremendamente emocionante” quando a equipe percebeu o que havia descoberto. “Ficamos todos surpresos ao conseguir gerar um órgão 100% funcional começando com células reprogramadas de uma maneira muito simples”, afirmou Blackburn à BBC.

“Foi um avanço muito importante. Nossa descoberta também é bastante estimulante em termos de pesquisa relacionada à medicina regenerativa.”

Segundo os estudiosos, a descoberta poderia ajudar pacientes que precisam de um transplante de medula óssea ou recém-nascidos com problemas no timo. Idosos também poderiam se beneficiar da pesquisa. Com o avanço da idade, o timo diminui de tamanho, o que reduz a capacidade do sistema imunológico e, consequentemente, aumenta a vulnerabilidade do indivíduo a doenças.

No entanto, os cientistas dizem que ainda há obstáculos a serem transpostos antes que a pesquisa possa ser feita em humanos.  A técnica atual usa embriões. Isso significa desenvolver um timo que talvez seja incompatível com os tecidos do paciente.

Pesquisadores também precisariam ter a certeza de que as células transplantadas não cresceriam descontroladamente, evoluindo para um câncer. Robin Lovell-Badge, do Instituto Nacional para a Pesquisa Médica, no Reino Unido, classificou o estudo como “excelente”.

“Essa é uma conquista importante tanto para demonstrar como fazer um órgão do zero, mesmo simples, quanto pelo papel fundamental do timo no desenvolvimento do sistema imunológico.” No entanto, agrega, “os métodos usados parecem não ter aplicabilidade em humanos”.

Avanços

O campo da medicina regenerativa vem evoluindo rapidamente. Já existem pacientes com vasos sanguíneos, traqueias e bexigas criados em laboratório. Esses órgãos artificiais são criados a partir de células em uma estrutura temporária que é então implantada.

O timo criado pelos cientistas exigiu apenas uma injeção de células. Paolo de Coppi, um dos pioneiros nas terapias regenerativas no Great Ormond Street Hospital, afirmou: “Pesquisas como essas demonstram que a engenharia de órgãos pode, no futuro, substituir os transplantes”.

“A criação de órgãos relativamente simples já foi adotada em um pequeno grupo de pacientes e é possível que, dentro dos próximos cinco anos, órgãos mais complexos possam ser criados usando células especializadas derivadas de células-tronco de uma forma semelhante à descrita na pesquisa”.

Mas, ressalva, “ainda não se sabe se, em longo prazo, as células geradas a partir da reprogramação direta vão poder manter sua forma especializada e evitar problemas como a formação de tumores”.