Grupo da USP descreve papel-chave de enzima contra o parasita da doença de Chagas

Por Leandro Alves 19 de junho de 2018

Karina Toledo  |  Agência FAPESP – Em artigo publicado recentemente na revista Nature Communications, pesquisadores da Universidade de São Paulo (USP) descreveram o papel central de uma enzima – a fosfatidilinositol 3-quinase (PI3K) gama – na regulação da resposta imune contra o Trypanosoma cruzi, protozoário causador da doença de Chagas.

O estudo foi conduzido no Centro de Pesquisa em Doenças Inflamatórias (CRID), um dos CEPIDs apoiados pela FAPESP, durante o mestrado e o doutorado de Maria Claudia da Silva. A orientação foi feita pelos professores da Faculdade de Medicina de Ribeirão Preto (FMRP-USP) João Santana da Silva e Thiago Mattar Cunha.

“Nossos resultados indicam que durante a infecção pelo T. cruzi, tanto em camundongos como em humanos, ocorre um aumento na expressão de PI3K gama. Isso parece ser essencial tanto para evitar uma inflamação exacerbada e lesiva ao organismo como para controlar o parasitismo no coração”, contou Maria Claudia em entrevista à Agência FAPESP.

Na avaliação dos autores, moléculas capazes de modular a via de sinalização celular mediada por essa enzima poderão ser, no futuro, testadas no tratamento da enfermidade que atinge cerca de 7 milhões de pessoas na América Latina – entre 2 e 3 milhões somente no Brasil.

Geralmente transmitida pela picada do inseto conhecido como barbeiro (Triatoma infestans), pela transfusão de sangue de pacientes chagásicos ou pela ingestão de alimentos contaminados, a infecção pelo T. cruzi acompanha o paciente até o fim da vida. Apresenta uma primeira fase aguda, que pode ser assintomática ou causar febre, mal-estar, inflamação e dor nos gânglios, vermelhidão, inchaço nos olhos, aumento do fígado e do baço.

Anos depois podem surgir as complicações da fase crônica, sendo a mais comum o alargamento dos ventrículos do coração (condição que afeta cerca de 30% dos pacientes e costuma levar à insuficiência cardíaca) e a dilatação do esôfago ou o alargamento do cólon (que acomete até 10% dos infectados e pode levar à perda dos movimentos peristálticos e à dificuldade de funcionamento dos esfíncteres). A maioria permanece assintomática mesmo com uma reserva de parasitas no organismo.

“Em nosso modelo de estudo usamos uma linhagem do protozoário que tem preferência pelo tecido do coração. Logo nos primeiros experimentos, observamos que camundongos deficientes de PI3K gama desenvolviam já na fase aguda uma cardiopatia grave e morriam em pouco tempo. Mas não tínhamos a menor ideia de por que isso acontecia”, disse Santana da Silva.

Ao aprofundar as análises, a equipe do CRID percebeu que os camundongos geneticamente modificados para não expressar PI3K gama apresentavam a mesma quantidade de parasitas no sangue que os animais selvagens, ou seja, capazes de expressar a enzima e de sobreviver à infecção.

Segundo Santana da Silva, o esperado seria que os camundongos mortos em decorrência da infecção pelo T. cruzi apresentassem uma maior carga de parasitas no sangue do que aqueles que sobreviveram.

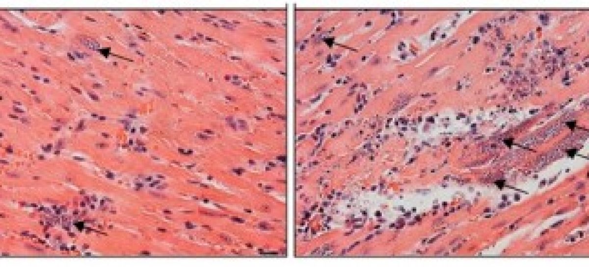
“Quando olhamos o coração, porém, percebemos que os camundongos deficientes de PI3K gama tinham uma carga parasitária muito maior no órgão e também uma inflamação [miocardite] muito mais severa. O sistema imune estava produzindo moléculas pró-inflamatórias de forma descontrolada, lesionando o tecido cardíaco, e mesmo assim não conseguia matar o parasita de forma eficiente”, contou Santana da Silva.

Defeito nos macrófagos

Durante o doutorado de Maria Claudia, o grupo se dedicou a investigar de que forma a resposta imune ao protozoário é modificada pela ausência de PI3K gama. De acordo com Cunha, já existiam estudos mostrando que a enzima participa de uma via de sinalização importante para a migração das células de defesa para locais do organismo em que há inflamação.

No caso da infecção pelo T. cruzi, em uma condição normal, certas substâncias chamadas quimiocinas são produzidas pelo parasita quando ele infecta as células do hospedeiro. Essas moléculas ativam macrófagos e células dendríticas – a linha de frente do sistema imune –, que migram para o local e matam o invasor.

Embora o mecanismo de defesa não seja 100% eficiente, explicam os pesquisadores, consegue manter baixa a carga parasitária, tanto que a maioria dos indivíduos não apresenta sintomas na fase aguda.

“Nossos resultados mostraram que, quando a via de sinalização mediada por PI3K gama não está ativa nos macrófagos, essas células perdem a capacidade de matar o parasita e de controlar a inflamação. Para provar que o problema estava especificamente nos macrófagos, usamos um modelo animal chamado nocaute condicional, que só não tem a PI3K gama nessas células de defesa”, explicou Cunha.

Embora o mecanismo ainda não tenha sido completamente elucidado, o grupo da USP conseguiu verificar que a falta da enzima faz com que o macrófago produza menor quantidade de óxido nítrico – molécula essencial para matar o protozoário e que atua em conjunto com uma citocina inflamatória chamada interferon gamma (IFNγ).

“Se o macrófago não expressa PI3K gama, mesmo na presença de IFNγ ele não consegue matar o protozoário”, disse Santana da Silva.

Evidências em humanos

Em parceria com o pesquisador Edecio Cunha Neto, da Faculdade de Medicina da USP em São Paulo (FMUSP), o grupo do CRID estudou tecidos de pacientes que desenvolveram cardiopatia na fase crônica da doença de Chagas e foram submetidos à biópsia ou a transplante de coração. Avaliaram ainda um banco de dados com informações de todas as moléculas expressas no tecido cardíaco.

As análises revelaram que os indivíduos com maior expressão de PI3K gama tinham uma menor quantidade de parasitas no coração que os que expressavam menor quantidade da enzima – embora ambos apresentassem miocardite. Além disso, todos eles tinham níveis mais elevados de PI3K gama e de todas as moléculas da via mediada por essa enzima quando comparados a pacientes cardíacos não chagásicos (portadores de uma condição conhecida como insuficiência congestiva crônica).

“Esses resultados sugerem que também em humanos essa enzima está envolvida no controle do parasita. Em experimentos in vitro, vimos que, ao infectar macrófagos humanos com o T. cruzi após tratamento com inibidor da PI3K, tais células falham em matar o patógeno intracelular. Como isso ocorre é algo que ainda precisamos entender”, disse Santana da Silva.

Dados preliminares do grupo também indicam que em pacientes que desenvolvem cardiopatia na fase crônica da infecção pelo T. cruzi é maior a incidência de um polimorfismo (variação no gene codificador da enzima) que talvez seja associado a uma menor atividade da enzima PI3K gama – em comparação a pacientes que desenvolvem doença crônica em outros órgãos, como baço ou intestino.

“Estamos agora escrevendo um segundo trabalho levantando a hipótese de que pessoas com um determinado polimorfismo no gene codificador da PI3K gama têm mais risco de desenvolver cardiopatia na fase crônica”, explicou Cunha.

Outra possível linha de investigação, segundo o pesquisador, é avaliar se os raros casos de pacientes que morrem de miocardite fulminante ainda na fase aguda da infecção estariam associados à menor expressão de PI3K gama, como foi observado em camundongos.

Santana da Silva também tem interesse em investigar as vias de sinalização que modulam a produção de PI3K gama no organismo humano.

“Hoje já temos drogas capazes de inibir a produção da enzima, mas não de estimulá-la. Agora temos de investigar as vias regulatórias mediadas pela PI3K gama em busca de moléculas capazes de induzir a liberação das mesmas substâncias. Já testamos no laboratório algumas moléculas que funcionam da mesma maneira. É um estudo de ciência básica, mas com possível aplicação direta no controle do parasitismo tanto na fase aguda quanto crônica”, disse o pesquisador.

Na avaliação de Cunha, ativar a enzima “não é tarefa simples” e pode ter implicações em outras condições de saúde. “Inibidores da via da PI3K gama já estão sendo testados no tratamento do câncer e de doenças inflamatórias”, contou.

O artigo Canonical PI3Kγ signaling in myeloid cells restricts Trypanosoma cruzi infection and dampens chagasic myocarditis, de Maria C. Silva, Marcela Davoli-Ferreira, Tiago S. Medina, Renata Sesti-Costa, Grace K. Silva, Carla D. Lopes, Lucas E. Cardozo, Fábio N. Gava, Konstantina Lyroni, Fabrício C. Dias, Amanda F. Frade, Monique Baron, Helder I. Nakaya, Florêncio Figueiredo, José C. Alves-Filho, Fernando Q. Cunha, Christos Tsatsanis, Christophe Chevillard, Edecio Cunha-Neto, Emilio Hirsch, João S. Silva e Thiago M. Cunha, pode ser lido em: www.nature.com/articles/s41467-018-03986-3.