Pesquisa avança na busca de novas terapias para malária

Por Leidyane Ramos 17 de julho de 2019

A busca pela eliminação da malária tem como base a combinação de medidas que visam tratar os pacientes e impedir a transmissão da doença. Uma nova pesquisa aponta que uma molécula investigada para tratamento do câncer pode contribuir para alcançar este objetivo. Em camundongos, considerados modelo para estudo da malária cerebral, complicação mais grave da infecção, a administração do composto conhecido como DON (6-diazo-5-oxo-L-norleucina) reduziu significativamente a presença dos parasitos Plasmodium no sangue, prevenindo a morte dos animais e bloqueando a transmissão para os mosquitos.

“A pesquisa mostra que o composto interrompe o ciclo de vida do parasito. Com o tratamento, o desenvolvimento do Plasmodium no interior das hemácias [células sanguíneas] é bloqueado. Portanto, os sintomas não se estabelecem e o mosquito não se infecta ao sugar o sangue dos animais. Esses resultados apontam para o potencial de DON como mais uma força em terapias combinadas em busca de uma intervenção eficiente contra a malária”, afirma Alexandre Morrot, pesquisador do Laboratório de Imunoparasitologia do Instituto Oswaldo Cruz (IOC/Fiocruz) e coordenador do estudo.

Publicado na revista científica Frontiers in Microbiology, o trabalho foi liderado pelo IOC em parceria com a Universidade Federal do Rio de Janeiro (UFRJ). No IOC, além do Laboratório de Imunoparasitologia, participaram os Laboratórios de Pesquisa em Malária e de Biologia Molecular e Doenças Endêmicas. A Universidade de Nova York, nos Estados Unidos, também colaborou com o estudo. A pesquisa foi financiada pela Fundação Oswaldo Cruz (Fiocruz), Conselho Nacional de Desenvolvimento Científico e Tecnológico (CNPq), Fundação Carlos Chagas Filho de Amparo à Pesquisa do Estado do Rio de Janeiro (Faperj) e Coordenação de Aperfeiçoamento de Pessoal de Nível Superior (Capes).

Ação paralisante

Causador da malária, o parasito Plasmodium passa por diferentes estágios nos mosquitos e nos hospedeiros vertebrados – entre eles, os seres humanos. O trabalho mostra que o composto DON paralisa o desenvolvimento do microrganismo na forma trofozoíta, encontrada nas células do sangue. Na presença do composto, a maioria dos trofozoítas não chega ao estágio maduro e aqueles que alcançam esse estágio apresentam graves alterações morfológicas. Uma vez que os trofozoítas maduros são responsáveis tanto pela reprodução assexuada – capaz de multiplicar o número de parasitos no sangue – quanto pela formação de gametócitos – formas sexuadas responsáveis pela infecção dos mosquitos –, o ciclo do Plasmodium é quebrado.

“O composto não provoca diretamente a morte dos parasitos, mas ao limitar a sua reprodução impede o estabelecimento dos sintomas da doença e permite que o organismo elimine naturalmente a infecção”, explica Morrot.

 
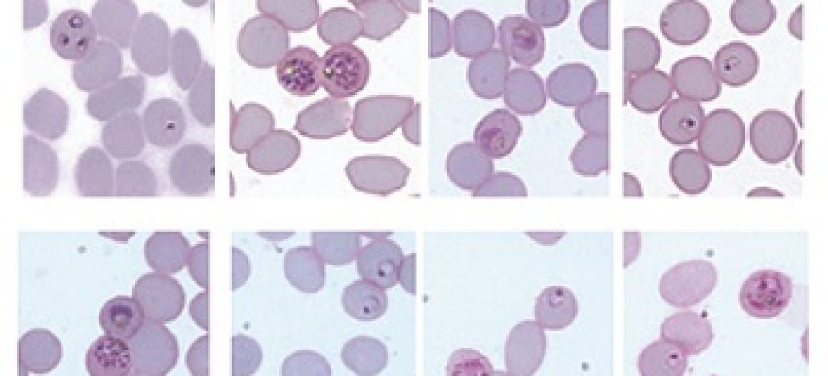
Nos ensaios em cultura de células, a administração de DON no estágio inicial da infecção resultou na redução do número de parasitos em fase tardia (linha superior). A ação também foi observada com a administração de DON no estágio tardio da infecção, induzindo o aparecimento de parasitos com morfologia anormal (linha inferior). Imagem: Gomes PS e col. Front. Microbiol

A ação do composto sobre o parasito foi observada tanto em experimentos em cultura de células, como em testes com camundongos. Nos animais, a redução da presença do Plasmodium no sangue foi acompanhada pela recuperação do quadro de malária cerebral, prevenindo completamente a mortalidade. Ao investigar a presença de parasitos no intestino de mosquitos que picaram os camundongos, os pesquisadores observaram que o tratamento reduziu a taxa de infecção dos vetores para perto de zero.

Fatores de virulência

De forma inédita, a pesquisa apontou o mecanismo bioquímico por trás do efeito do composto na infecção. Os experimentos indicaram que a substância DON inibe uma enzima do Plasmodium, conhecida como GFTP. Segundo Morrot, a atividade desta enzima é fundamental para a síntese de um tipo de açúcar que integra a composição de moléculas consideradas como fatores de virulência do parasito, ou seja, que atuam no processo de infecção das células e para driblar as defesas do organismo.

“Por exemplo, o Plasmodium tem um mecanismo conhecido de evasão do sistema imune. As células de defesa identificam determinadas proteínas na superfície do parasito e produzem anticorpos para atuar contra elas. Como o Plasmodium apresenta esses alvos ancorados em moléculas chamadas de glicolipídios, que permitem que eles se desprendam após serem identificados, os anticorpos não conseguem reconhecer o parasito”, descreve o pesquisador. “O açúcar produzido pela enzima GFTP é essencial para a composição dos glicolipídios, assim como de glicoproteínas que estão envolvidas no processo de invasão das hemácias”, enumera.

Potencial expandido

No foco do trabalho, DON é um composto químico estudado desde a década de 1950 por sua ação antitumoral e que, nos últimos anos, entrou também na mira das pesquisas sobre a malária. Estudos anteriores apontaram que a substância é capaz de promover a recuperação de camundongos na fase tardia da infecção, quando o quadro de malária cerebral encontra-se avançado. Nessa situação, o efeito do composto resulta principalmente da ação sobre o sistema imune dos animais. A terapia inibe o excesso de inflamação que agrava as lesões do cérebro, promovendo a melhora dos sintomas antes mesmo da redução da presença de parasitos no sangue.

Ao demonstrar a ação do composto na fase inicial da infecção, o trabalho atual amplia o potencial da substância contra a malária. “Os achados indicam que DON é capaz de atuar diretamente no crescimento e diferenciação das formas sanguíneas do Plasmodium, além de atenuar os danos causados pela resposta inflamatória do hospedeiro. Essas características sugerem que o composto pode contribuir para o tratamento dos casos de malária cerebral e atuar como bloqueador da transmissão, enfatizando sua importância no desenho de novas terapias”, pontua Morrot.

Malária cerebral

Associada a alterações na circulação sanguínea do cérebro, a malária cerebral é uma complicação com alta letalidade. O quadro ocorre unicamente nas infecções provocadas pelo Plasmodium falciparum, uma das cinco espécies de parasito causadoras do agravo. Além da febre, os pacientes podem apresentar dor de cabeça, rigidez na nuca, perturbações sensoriais, desorientação, sonolência ou excitação, convulsões, vômitos e até mesmo coma.

Segundo o último relatório da Organização Mundial da Saúde (OMS), em 2017, foram notificados 219 milhões de casos de malária, com 435 mil mortes. Mais de 90% das infecções e dos óbitos ocorreram no continente africano, onde o P. falciparum responde por 99,7% das ocorrências. No Brasil, o Ministério da Saúde informou que foram notificados 32 mil casos de malária entre janeiro e março de 2019, o que representa queda de 38% em relação ao mesmo período do ano passado. Em todo o ano de 2018, o país contabilizou 194 mil casos da doença. Cerca de 90% das infecções no Brasil são causadas pelo Plasmodium vivax, que não está associado ao quadro cerebral. O P. falciparum responde por aproximadamente 10% dos registros.

Fonte: Maíra Menezes (IOC/Fiocruz)