Como podemos te ajudar?

Sugestões:

Notícias

INSCRIÇÕES PRORROGADAS: Fame Lab 2018 recebe participantes até o dia 11 de março
Por DINF/Fapema

Foram prorrogadas até 11 de março as inscrições para a etapa brasileira do FameLab 2018, competição internacional de comunicação científica que acontece em 32 países simultaneamente. Para participar basta gravar […]

Fapema realiza nesta terça-feira (27) avaliação da chamada pública Mestrado no País
Por DINF/Fapema

               A Fundação de Amparo à Pesquisa e ao Desenvolvimento Científico e Tecnológico do Maranhão (Fapema) reúne nesta terça-feira (27), o Comitê de Julgamento […]

Governo do Estado realiza nesta terça-feira avaliação parcial do PPSUS – 2018
Por DINF/Fapema

 O Governo do Estado, por meio da Fundação de Amparo à Pesquisa e ao Desenvolvimento Científico e Tecnológico do Maranhão (Fapema), órgão ligado à Secretaria da Ciência, Tecnologia e Inovação […]

Editais oferecem oportunidade de mobilidade de pesquisadores do Brasil e Reino Unido
Por DINF/Fapema

Estão abertos até o dia 14 de março de 2018 os editais Newton Mobility Grants e International Exchanges Scheme para fomento à mobilidade de pesquisadores doutores, vinculados a instituições de […]

Editais promovem cooperação entre cientistas do Brasil e do Reino Unido para formação de redes de pesquisa
Por DINF/Fapema

Dois editais estão com prazo de envio de propostas aberto para o fomento a grupos de pesquisa do Brasil para formação de redes de pesquisa com cientistas do Reino Unido. […]

Incêndios florestais dominam as emissões de carbono durante secas na Amazônia, diz pesquisa do engenheiro ambiental do MA
Por DINF/Fapema

De acordo com o artigo publicado na revista Nature Communications, na Amazônia Brasileira, as emissões de carbono por incêndios florestais, durante secas extremas, estão superando as emissões associadas ao processo […]

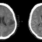
Estudo investiga estrutura cerebral em pessoas transgêneros
Por DINF/Fapema

Maria Fernanda Ziegler  |  Agência FAPESP – Pesquisadores da Faculdade de Medicina da Universidade de São Paulo realizaram o primeiro estudo feito na América Latina que investigou volumes cerebrais de indivíduos […]

Sintomas das doenças transmitidas pelo Aedes aegypti são muito parecidos e diagnóstico não é fácil
Por DINF/Fapema

Dengue, febre amarela, zika e chikungunya são as doenças (arboviroses) que já estão instaladas no Brasil e são transmitidas pelo mesmo vetor no meio urbano – o mosquito Aedes aegypti. […]

UEMA assume coordenação geral do Programa de Pós-Graduação em Biodiversidade e Biotecnologia da Rede BIONORTE
Por DINF/Fapema

A partir do próximo mês de março, a Universidade Estadual do Maranhão (UEMA) assume a coordenação geral do Programa de Pós-Graduação em Biodiversidade e Biotecnologia da Rede BIONORTE (PPG-BIONORTE) que […]

Flávio Dino recebe pesquisadores e anuncia aumento para bolsas do Juventude com Ciência
Por DINF/Fapema

Produção de sabão, reciclagem, coleta seletiva, palestras e interação com comunidades. O resultado dessas e outras ações desenvolvidas por bolsistas do projeto Juventude com Ciência foram apresentadas ao governador Flávio […]